近日,北京大学第一医院密云医院举行了腹腔内窥镜单孔手术系统(机器人)在泌尿外科手术的有效性和安全性相关研究的临床试验启动会。院长李学松,副院长刁英智、特聘泌尿外科主任张争、泌尿外科主任谷亚明、麻醉科主任郭瑞宏、科教科科长吴娜威、中心手术室护士长肖春娟、消毒供应中心护士长周立华等相关人员出席了活动。该研究项目由院长李学松、特聘泌尿外科主任张争以及其带领的泌尿外科团队参与完成,由北京术锐机器人股份有限公司申办。值得一提的是,李学松院长及团队应用术锐®单孔手术机器人完成一例完全单孔技术经脐经肠系膜入路左侧输尿管息肉切除吻合术。据悉,此例手术也是国产单孔机器人该术式的全球首例报道。

李学松院长希望双方在该项目临床合作上,进一步提高医院的医疗技术及科研工作水平,以更加精湛的技术和优质的服务造福更多的患者,并表达了医院开启微创手术新时代的目标及展望。
谷亚明主任对本次临床合作项目做了详细介绍。随着机器人微创时代的到来,机器人辅助腹腔镜手术逐渐在全球范围内广泛普及,腹腔镜拥有创伤小、操作空间大、术中出血少、术后住院日短等优势。机器人手术更因其三维术野立体真实、操作精细,易于缝合、学习曲线低等优势而更倍受瞩目,而单孔机器人手术正是结合了二者的优点而得到了患者与医生的欢迎。本次联合开展的临床合作,意在评价国产单孔腔镜手术机器人在泌尿外科手术中的有效性和安全性,在对国内自主创新成果进行验证的同时,也将提高密云医院的医疗服务水平。涉及术式内容包括肾盂成形术、肾部分切除术、肾上腺手术和前列腺癌根治术等。

启动会上,国产术锐®机器人产品经理王梦莹对单孔机器人进行了详细的介绍,术锐®单孔手术机器人为国内首个内窥镜单孔手术系统,目前已经获得了国家药品监督管理局批准,有效填补了国内空白。手术器械采用国际首创、拥有自主知识产权的创新技术,具有运动范围广、负载能力强和可靠性高等技术优势。以单孔方式实施手术,减少患者腹部开孔数量,内窥镜及手术器械有多个主动自由度,仅通过手术器械在患者腹腔内的运动即可完成手术操作,手术体表创伤小、切口更美观、术后恢复更快、疼痛感更轻,而且体外定位臂在操作过程中保持静止,避免了术中器械相互碰撞的风险。

国产单孔手术机器人在密云医院泌尿外科手术中的首次应用
启动会后,李学松院长首次在单孔机器人辅助腹腔镜下完成一例完全单孔技术经脐经肠系膜入路左侧输尿管息肉切除吻合术,经检索文献此例手术也是国产单孔机器人该术式的全球首例报道。

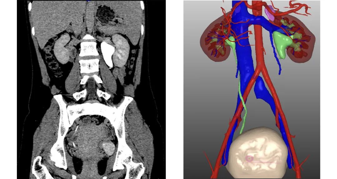
接受手术的患者,女,29岁,主诉左侧间断腰痛5个月。泌尿系超声提示左肾中度扩张积水,考虑左侧肾盂输尿管连接部狭窄;尿路造影提示:左侧输尿管上段局部管壁增厚、管腔折叠,继发左肾积水。为保证手术的顺利进行,术前采用三维数字医学影像技术平台对狭窄的部位、血管、脏器等进行三维重建,可视化评估梗阻病变的部位及周围的血供情况。李学松院长及团队结合患者的病情对手术方案进行讨论分析,最终决定使用单孔手术系统进行经脐经肠系膜入路左侧输尿管息肉切除输尿管吻合术。


手术开创性地采用绕脐切口,利用单孔穿刺器建立操作通道,不增加辅助孔,手术入路优化选择经肠系膜入路,可以直达病灶,精准的定位输尿管狭窄部位,利用“蛇形”机械臂的灵活操作,对肾盂输尿管进行精细的游离,运用北大泌尿上尿路修复团队改良的标准后离断技术,先“S”行切开肾盂及输尿管,见多发输尿管息肉,先用5-0可吸收缝线连续缝合重建后壁,再切除病变组织。术中机器臂可多角度进针,确保每一针都能精准缝合,且未使用辅助孔。手术全程操作时间约两小时,出血5ml,左侧绕脐切口3cm,未留置引流管。患者手术次日晨起下地活动、进食,恢复良好,术后第5天顺利出院。经脐部遮挡后手术疤痕几乎不显现。
该手术是密云医院第一例应用单孔手术机器人完成的手术,该手术的高质量完成初步表明了单孔手术机器人具有超微创、操作灵活有力、视野调整范围大、定位臂安全协动等优势,也标志着国产手术机器人正在不断开拓新的领域,为更多的患者带来更加微创、安全的治疗效果。

随着科技的进步和手术设备的不断演进,应用机器人手术系统辅助外科手术完成更微创的手术已成为外科手术的发展方向。微创化、精准化的手术理念,成为每个外科医生不断追求的目标。李学松院长讲道:外科医生手里的技术,我们要把他做成“艺术”。凭借硬核的技术实力,北京大学第一医院密云医院将进一步深化在泌尿外科领域的探索与创新,后续我们也将携手我国研发的机器人手术系统走向世界,让全世界认识“中国智造”,相信“中国智造”,肯定“中国智造”。
重要提示信息
北京术锐机器人股份有限公司的腹腔内窥镜单孔手术系统 已 获得国家药品监督管理局( NMPA)的上市批准(注册证号:国械注准20233010833), 用于泌尿外科及妇科 腹腔镜手术操作 。医生若希望学习术锐 ®机器人的手术操作,请联系北京术锐 机器人股份 有限公司,参加术锐的官方培训计划。患者若想参加术锐 ®机器人的注册临床试验,请联系术锐官方合作医院,咨询医生,以确定是否适合术锐®机器人的手术。医生和患者应仔细了解有关术锐®机器人执行手术及其可能风险的所有信息。
术锐®、SHURUI®等是北京术锐 机器人股份 有限公司所拥有的注册商标,未经许可,不得使用。